Skip to main content

Ortodonzia nell’adulto

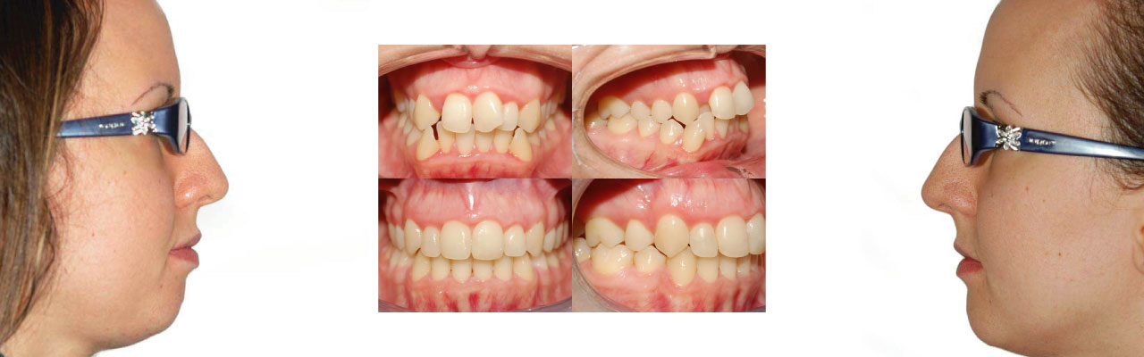
È quella branca dell’odontoiatria che studia le anomalie delle posizioni dei denti.

Ha lo scopo di prevenire ed eliminare tali anomalie riportando i denti nella posizione corretta e correggendo gli inestetismi del volto dovuti al mal posizionamento dentale.

Apparecchio invisibile| Ortodonzia a Montagnana | Clinica dentale Mantoan

È quella branca dell’odontoiatria che studia le anomalie delle posizioni dei denti.

Ha lo scopo di prevenire ed eliminare tali anomalie riportando i denti nella posizione corretta e correggendo gli inestetismi del volto dovuti al mal posizionamento dentale.

Ortodonzia intercettiva: si prefigge di individuare quanto più precocemente possibile le malocclusioni.

Ortodonzia fissa: consente di collocare i denti nella posizione ideale servendosi di un sistema di forze applicate ai denti stessi tramite placchette in ceramiche o metallo.

L’ortodonzia trasparente si compone di una serie di apparecchi trasparenti e rimovibili che vengono sostituiti ogni due settimane da un nuovo set. Ciascun aligner è realizzato appositamente e soltanto per i tuoi denti.

Quando si sostituiscono gli aligner, i tuoi denti si muovono, piano piano, settimana dopo settimana, finché non si saranno allineati nella posizione finale definita dal dentista.

Domande & Risposte

Quando bisogna mettere l’ apparecchio?

Dipende. Alcuni problemi vanno risolti subito come nel caso di un trauma o un dente che incroci un altro nell’ eruzione. In altri casi invece è meglio aspettare i 12-13 anni quando sono spuntati tutti i denti permanenti, per non dover continuamente modificare l’ apparecchio man mano che cadono i denti da latte e spuntano quelli permanenti.

Ortodonzia negli adulti?

Si! Non ci sono limiti di età per raddrizzare i denti.

È vero che a volte si devono togliere dei denti?

Si. Purtroppo in alcuni casi, per raddrizzare i denti bisogna creare lo spazio per farli andare al loro giusto posto. Se questo spazio non c’ è bisogna procurarselo estraendo qualche altro dente. In altri casi è meglio estrarre dei denti per migliorare il profilo del viso: infatti, se la parte superiore della bocca sporge troppo si ha l’ aspetto da “coniglietto”, per cui estraendo due premolari superiori si riesce a creare un profilo più gradevole.

Tecnologie Odontoiatriche

Lo studio Mantoan è all’avanguardia per le tecnologie utilizzate

Approfondisci le tecnlogie

Protossido di azoto e analgesia sedativa

Opm con cefalometria

Laser Herbio

Estrazione dente del giudizio | Chirurgia orale | Clinica Mantoan

Sala Chirurgica

Scanner Intraorale – Sirona

Laser a Diodi

Telecamera Intraorale

TAC 3D

Sedazione cosciente

Esperti in tecnica implantare su 6 impianti

Specialisti a 360°

Tecnologie avanzate

Alta professionalità

Pagamenti dilazionati

Convenzioni

Innovazione

Ottima clinica dentale.. Personale gentilissimo, cordiale e disponibile. E' stato un piacere andare dal dentista, complimenti!

Elena

Ottima clinica, personale gentilissimo, sempre disponibili, organizzati bella struttura medici con un cuore.

Clara

Convenzioni:

La Clinica Dentale Mantoan opera in rapporto continuo con UniSalute e Sanedil.

Durante la prima visita informate la segreteria della convenzione/assicurazione o appartenenza ad un fondo sanitario integrativo per l’odontoiatria al quale appartenete.