Skip to main content

Ortodonzia nel ragazzo

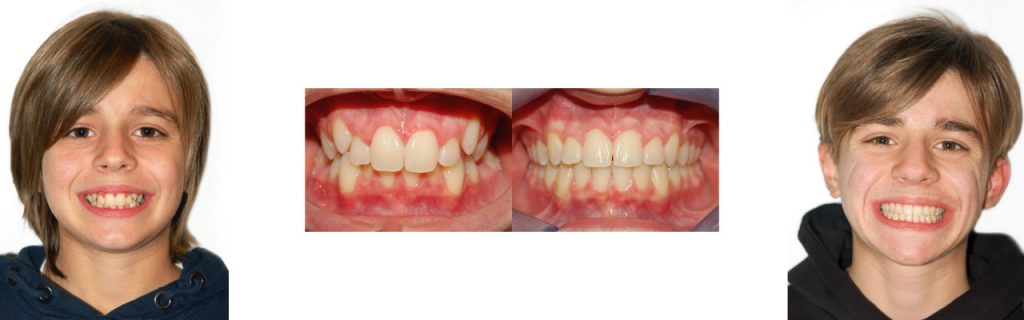
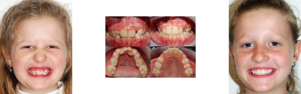
L’ortodonzia nell’età pre-adolescenziale e/o adolescenziale viene considerata come “seconda fase”, inizia verso il termine della permuta dentale e consente di coordinare i rapporti dentali in modo definitivo.

Il paziente può o meno aver già fatto la prima fase ortodontica in passato all’età di 7-8 anni (terapia intercettiva).

Domande & Risposte

Quando bisogna mettere l’ apparecchio?

Dipende. Alcuni problemi vanno risolti subito come nel caso di un trauma o un dente che incroci un altro nell’ eruzione. In altri casi invece è meglio aspettare i 12-13 anni quando sono spuntati tutti i denti permanenti, per non dover continuamente modificare l’ apparecchio man mano che cadono i denti da latte e spuntano quelli permanenti.

Ortodonzia negli adulti?

Si! Non ci sono limiti di età per raddrizzare i denti.

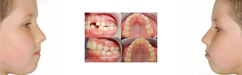
È vero che a volte si devono togliere dei denti?

Si. Purtroppo in alcuni casi, per raddrizzare i denti bisogna creare lo spazio per farli andare al loro giusto posto. Se questo spazio non c’ è bisogna procurarselo estraendo qualche altro dente. In altri casi è meglio estrarre dei denti per migliorare il profilo del viso: infatti, se la parte superiore della bocca sporge troppo si ha l’ aspetto da “coniglietto”, per cui estraendo due premolari superiori si riesce a creare un profilo più gradevole.

Tecnologie Odontoiatriche

Lo studio Mantoan è all’avanguardia per le tecnologie utilizzate

Approfondisci le tecnlogie

Protossido di azoto e analgesia sedativa

Opm con cefalometria

Laser Herbio

Estrazione dente del giudizio | Chirurgia orale | Clinica Mantoan

Sala Chirurgica

Scanner Intraorale – Sirona

Laser a Diodi

Telecamera Intraorale

TAC 3D

Sedazione cosciente

Esperti in tecnica implantare su 6 impianti

Specialisti a 360°

Tecnologie avanzate

Alta professionalità

Pagamenti dilazionati

Convenzioni

Innovazione

Ottima clinica dentale.. Personale gentilissimo, cordiale e disponibile. E' stato un piacere andare dal dentista, complimenti!

Elena

Ottima clinica, personale gentilissimo, sempre disponibili, organizzati bella struttura medici con un cuore.

Clara

Convenzioni:

La Clinica Dentale Mantoan opera in rapporto continuo con UniSalute e Sanedil.

Durante la prima visita informate la segreteria della convenzione/assicurazione o appartenenza ad un fondo sanitario integrativo per l’odontoiatria al quale appartenete.